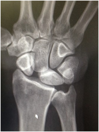
These injuries are relatively common and are either frequently missed or underestimated. The scapholunate ligament (SLL) is a ligament in the central aspect of the wrist and is an important stabiliser of the wrist . It is therefore the equivalent of the “Cruciate” ligament of ACL of the knee. If it is seriously injured the patient can develop pain on load bearing esp doing press ups or lifting objects. Certain everyday tasks can become painful if seriously injured. If the injury is neglected, premature arthritis and collapse of the wrist may occur in certain situations.
After scaphoid fractures, the SLL is probably the most commonly missed injury and this can have potentially detrimental effects for the patient.
An early MRI scan is required to make a prompt diagnosis. If diagnosed early (within 6 weeks) a repair of the ligament is possible. When diagnosed later, reconstruction using tendon graft is often required. The latter is more complex surgery and therefore an early diagnosis is recommended.
Surgery is usually followed by 6 weeks of splintage to protect the repair. Intensive rehabilitation and hand therapy is required afterwards to regain strength and movement. It takes several months to feel the benefit of surgery.
The procedure technically demanding and so it is essential that your surgeon is an expert on this type of surgery.

