Consent information for wrist fracture surgery
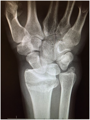
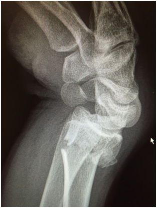
This is a common injury resulting from a fall onto an outstretched hand. It can often occur as a result of low energy trauma in the elderly and higher energy injuries are seen in the younger population. The treatment can be operative (surgical fixation) and non-operative (treatment in plaster) depending on the type of fracture. Your surgeon will advise on the type of treatment of your fracture.


Surgical fixation can take the form of plating the wrist. This will involve an incision on the palmer side of the wrist, putting the fragments of bone back in the right place and then holding them in place with a plate. This allows earlier mobilisation of the wrist (less time in plaster). There are surgical risks which your surgeon will discuss with you and sometimes (but not always) it is necessary to remove the plate at a future date.
The main advantage of treatment in plaster is that there is no surgical risk. However this is not suitable for all as the broken fragments of bone need to be well aligned. A degree of malunion may result. Your consultant will discuss suitable treatment options with you fully.