Scaphoid Fractures

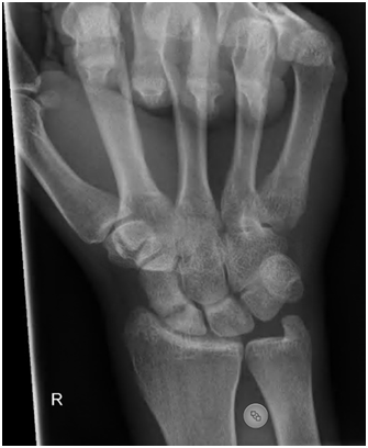
Scaphoid fractures are the commonest carpal fracture yet a potentially serious injury resulting in considerable disability (non-union / arthritis) if inadequately treated. Scaphoid fractures are commonly missed partly because the clinical signs are often unimpressive and 25 % of initial XRs will fail to show a scaphoid fracture when there is one. The scaphoid has a poor blood supply which is why even in fit and healthy patients it sometimes fails to heal. Smoking is considered a poor prognostic factor for scaphoid union.

If a scaphoid fracture is suspected an MRI scan may be necessary (advised by NICE guidelines) to confirm if X-rays are not 100% diagnostic.

The treatment of a scaphoid fracture depends on the personality of the fracture: displaced, undisplaced, proximal pole vs distal pole vs waist fracture. Your surgeon will discuss the different types with you.

A completely undisplaced scaphoid fracture (difficult to see on XR) can be treated with good success in a plaster. This plaster does not need to include the thumb but the average time in plaster is between 8-12 weeks.

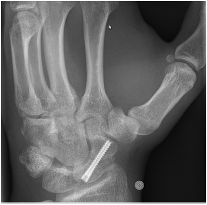
A displaced fracture has a significantly lower union rate and so in these cases surgery may be offered. Surgery is also offered for proximal pole fractures because the blood supply in this region is poor and thence the union rates lower. Surgery will entail a general or a regional anaesthetic (wide awake surgery with numbed arm), and then a screw is passed and buried within the substance of the scaphoid.

There is a period of immobilisation thereafter but less than with non-operative treatment. Surgery has a few risks and does not guarantee union. When patients present late with a scaphoid that has not united then it is often necessary to use bone graft (taken from pelvis or back of wrist) as well as screw fixation. Your surgeon will discuss this with you.