As SW19 warms up for the Championships….

Weekend warriors and elite tennis players alike will experience wrist pain from time to time . Many professionals like Juan del Potro and more latterly Emma Raducanu have had issues around the wrist & hand.
Stroke generation requires a complex kinetic chain involving transfer of large forces generated from the ground through the feet , knees , hip , pelvis , trunk , shoulders and ultimately through the hand and wrist .
During the double-handed backhand, the non-dominant wrist is subjected repeated extreme ulnar deviation and extension while dynamically moving from supination to pronation. The dominant wrist may also experience explosive load especially if the sweet spot of the raquet is missed !
Many tennis players present with ulnar sided wrist pain. Common causes are TFCC (Triangular Fibrocartilaginous Complex ) and ECU (Extensor Carpi Ulnaris) injuries . The good news is that the vast majority of these will settle down with rest , splints, conditioning exercise especially it diagnosed promptly .
Diagnosis can be made after expert clinical assessment, MRI or in some cases Ultrasound imaging . It is important that the correct investigation is performed and interpreted in the context of clinical presentation as sensitive investigations like MRI will flag incidental findings that might not to relevant.
For stubborn, ulnar sided wrist pain that has not settled despite a program of rehabilitation , a targeted steroid injection may play a role depending on the underlying pathology .
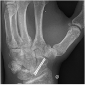
Surgical treatment is a last resort when there is significant and persistent, painful instability having a major impact on the patient .
More explosive loads can result in injury to the scapholunate ligament complex which plays an important role in wrist stability. It’s the wrist equivalent of the ACL ligament of the knee and if injured instability and pain can result. High grade scapholunate tears are generally more serious.
Injury prevention is key and regular stretching , flexibility training , strength and conditioning which includes the upper limb ( hand / wrist) is essential . Correct equipment selection is important-improper grips , strings , size and weight of racquet can have an adverse effect and predispose the player to injury .